Schulter

AC-LUXATION

Definition

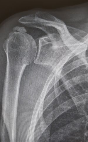
Durch Sturz auf die Schulter kann es zur Sprengung des Acromioclaviculargelenkes (AC-Gelenkes, Schultereckgelenkes) kommen. Hierbei entsteht durch Bänderrisse ein Höhertreten des Schlüsselbeins.

Klinik und Diagnose

Durch die Sprengung des Gelenkes kommt es zu einem schmerzhaften Höhertreten des Schlüsselbeines. Neben dem klinischen Befund ist ein konventionelles Röntgen ausreichend.

Therapie

Abhängig vom Ausmaß der Verletzung und dem sportlichen Niveau des Patienten wird die Therapie entsprechend ausgerichtet. In leichten Fällen ist eine zeitlich begrenzte Ruhigstellung im Verband bis zur Schmerzfreiheit ausreichend. Bei ausgeprägteren Befunden oder sportlich aktiven Menschen sollte die operative Versorgung möglichst bald angestrebt werden. Heutzutage üblich ist die operative Versorgung mittels Fadenankersystem (AC-Tightrope). Bei dieser Versorgung ist kein Folgeeingriff oder Metallentfernung nötig. Eine Ruhigstellung ist bis zu sechs Wochen erforderlich.

SCHULTERLUXATION

Definition

Eine Schulterluxation ist eine Verrenkung bzw. das Herausgleiten des Oberarmkopfes aus der Pfanne. Dies steht meist im Zusammenhang mit einem Unfallereignis, kann aber auch bei anlagebedingten Verhältnissen spontan entstehen. Das Schultergelenk ist im Vergleich zu anderen Gelenken öfter betroffen, da ein Missverhältnis zwischen Kopfgröße und Pfanne besteht und es fast ausschließlich muskulär stabilisiert wird.

Bei der Verrenkung wird meist das Labrum (Gelenkslippe) von der knöchernen Pfanne gerissen, manchmal auch mit knöchernem Fragment (Bankartläsion). An der Rückseite des Oberarmkopfes entsteht eine Eindellung (Hill-Sachs-Delle), die aber in den seltensten Fällen therapiebedürftig ist.

Bei oftmaligen Luxationen (chronisch) besteht meist ein größerer knöcherner Defekt am Pfannerand, welcher speziell behandelt werden muss.

Klinik und Diagnose

Es resultieren eine Fehlhaltung sowie eine schmerzhafte Bewegungseinschränkung bzw. Bewegungsunmöglichkeit.

Die Diagnosestellung erfolgt in der Akutphase klinisch und mit einer Röntgenaufnahme in zwei Ebenen. Um Begleitverletzungen besser erkennen zu können, ist im Intervall eine Arthro-MRT (spezielle MRT mit Kontrastmittel) notwendig. Bei chronischen Luxationen sollte außerdem eine Computertomographie durchgeführt werden, um knöcherne Defekte besser zu beurteilen.

Therapie

Beim jungen, sportlich aktiven Patienten sollte eine operative Stabilisierung durchgeführt werden, da es sonst zu wiederholten Verrenkungen kommen kann, welche zu Schäden von Weichteil und Knochen führen.

Bei der erstmaligen Luxation kann in der Regel ein arthroskopischer Eingriff durchgeführt werden. Hierbei wird das Labrum mit Nahtankern wieder am Knochen refixiert.

Bei bereits vorhandenem Knochenverlust nach oftmaligen Luxationen ist dies meist nicht mehr möglich. Hier muss ein Knochenaufbau mit körpereigenem Knochen erfolgen, um die Stabilität des Schultergelenkes wiederherzustellen (Latarjet, bzw. J-Span).

Eine postoperative Ruhigstellung mit nachfolgender, intensiver Physiotherapie ist für ein gutes Ergebnis unerlässlich.

IMPINGEMENTSYNDROM

Definition

Beim jungen, sportlich aktiven Patienten sollte eine operative Stabilisierung durchgeführt werden, da es sonst zu wiederholten Verrenkungen kommen kann, welche zu Schäden von Weichteil und Knochen führen.

Bei der erstmaligen Luxation kann in der Regel ein arthroskopischer Eingriff durchgeführt werden. Hierbei wird das Labrum mit Nahtankern wieder am Knochen refixiert.

Bei bereits vorhandenem Knochenverlust nach oftmaligen Luxationen ist dies meist nicht mehr möglich. Hier muss ein Knochenaufbau mit körpereigenem Knochen erfolgen, um die Stabilität des Schultergelenkes wiederherzustellen (Latarjet, bzw. J-Span).

Eine postoperative Ruhigstellung mit nachfolgender, intensiver Physiotherapie ist für ein gutes Ergebnis unerlässlich.

Klinik und Diagnose

Stark schmerzhafte Bewegungseinschränkungen, vor allem beim Heben des Armes, stehen im Vordergrund. Zudem bestehen eine lokale Druckschmerzhaftigkeit und ggfs. Erwärmungen im Bereich der Schulter. Weiters können Ruheschmerzen auftreten, vor allem nachts, mit dem Unvermögen auf der betroffenen Seite zu schlafen.

Es erfolgt eine Röntgenabklärung zum Erkennen von Spornbildungen und Kalkablagerungen, weiters kann eine Ultraschalluntersuchung zur Beurteilung des Schleimbeutels sowie der Sehnen durchgeführt werden. Bei stärker ausgeprägter Klinik sollte zusätzlich eine MRT zur besseren Beurteilung erfolgen.

Therapie

Am Anfang steht der konservative Therapieversuch mit Kryotherapie und medikamentöser Therapie (NSAR) sowie lokale Infiltrationen mit Lokalanästhetika und Kortison.

Zusätzlich haben physikalische Maßnahmen ihren Platz wie Heilgymnastik, Ultraschall und Salicylationtophorese. Bei Kalkablagerungen im Sinne einer sogenannten Kalkschulter, welche oft mit einem Impingementsyndrom assoziiert ist, kann eine Stoßwellentherapie durchgeführt werden.

Bei Nichtbesserung der Beschwerden durch die konservative Therapie, ist ein operatives Vorgehen erforderlich. Dies erfolgt mittels einer Arthroskopie (Schultergelenksspiegelung). Dabei kommt es zu einer Entfernung des Schleimbeutels im Sinne einer subacromialen Dekompression und Denervation, wobei bei Notwendigkeit auch eine Kalkablagerung entfernt bzw. ein Knochensporn im Sinne einer sog. Acromioplastik abgetragen werden kann.

Postoperativ ist keine Ruhigstellung erforderlich, maximal ein Dreieckstuch für einige Tage. Es sollte sofort mit einer Physiotherapie mit passiven Übungen begonnen werden, in Folge aktive Bewegungsübungen zur Stärkung der Rotatorenmanschette mit dem Ziel der Zentrierung des Oberarmkopfes. Überkopfbewegungen sollten in den ersten Wochen noch vermieden werden.

ROTATORENMANSCHETTENRUPTUR

Definition

Die Rotatorenmanschette entspricht einer Sehnenplatte, in welche vier Muskeln einstrahlen (Musculus subscapularis, supraspinatus, infraspinatus und Teres minor)

Risse (Rupturen) der Sehnen können durch einen Unfallmechanismus (traumatisch) oder abnützungsbedingt (degenerativ) oder als Kombination beider entstehen.

Klinik und Diagnose

Es stehen Schmerzen und Bewegungseinschränkung im Vordergrund. Bei der klinischen Untersuchung kann der Arm nicht gegen Widerstand gehoben werden.

Bei degenerativen Rissen kommt es zu einer Veränderung der Biomechanik mit Höhertreten des Oberarmkopfes durch fehlende Kopfzentrierung, dies führt zu einem sekundären Impingement, welches letztendlich die klinische Erscheinung bestimmt.

Durch klinische Tests kann eine Verdachtsdiagnose gestellt werden, diese muss aber durch eine Röntgen und MRT-Abklärung abgesichert werden. Auch der Ultraschall (Sonographie) ist eine gute diagnostische Maßnahme, da sie eine dynamische (in Bewegung) Untersuchung erlaubt.

Therapie

Teilrupturen können konservativ mittels Physiotherapie behandelt werden. Bei kompletten Rissen muss je nach Alter und Aktivitätslevel der Patienten sowie abhängig von der Größe des Defektes und der Sehnenqualität zwischen konservativer und operativer Therapie entschieden werden. Ziel der operativen Therapie ist eine stabile Naht, sodass die Sehne wieder einheilen kann und volle Belastungsfähigkeit und Schmerzfreiheit das Resultat sind. Dies kann entweder arthroskopisch oder in mini-open Technik geschehen. Die Nachbehandlung richtet sich in erster Linie nach der Größe der Rissbildung und nach der Qualität des Gewebes. In den allermeisten Fällen ist das Tragen eines Schulterverbandes allerdings erforderlich. Postoperativ ist eine begleitende Physiotherapie, beginnend mit Pendelübungen sowie passiven Übungen steigernd zu aktiven Bewegungen, obligatorisch.

KALKSCHULTER

Definition

Bei der Kalkschulter (Tendinosis calcarea, / Tendinitis calcarea), bilden sich Kalkablagerungen in den Sehnen der Rotatorenmanschette, meistens in der Supraspinatussehne.

Durch starke Beanspruchung des Schultergelenkes im Rahmen von sportlichen Aktivitäten oder körperlicher Arbeit, aber auch durch häufige Stürze mit resultierenden Sehnenverletzungen, entstehen an bestimmten Stellen innerhalb der Rotatorenmanschette vermehrt Faserknorpel, in die der Körper in Folge Kalk einlagert.

Klinik und Diagnose

Die Patienten klagen über Schmerzen und schmerzbedingte Bewegungseinschränkung und Kraftminderung der Schulter, wobei aber der jeweilige Verlauf sich individuell sehr unterschiedlich darstellen kann.

Eine Kalkschulter tritt oft in Kombination mit einem Impingement-Syndrom der Schulter auf. Eine Anamnese und die klinische Untersuchung erhärten zumeist den Verdacht auf das Vorliegen einer Kalkschulter. Mittels Röntgenaufnahme und Sonographie kann das Kalkdepot kann nachweisen werden. Eine ergänzende MRT kann Aufschluss über das zusätzliche Auftreten eines Impingement-Syndroms sowie Information über den Zustand der Sehne liefern.

Therapie

Die Patienten klagen über Schmerzen und schmerzbedingte Bewegungseinschränkung und Kraftminderung der Schulter, wobei aber der jeweilige Verlauf sich individuell sehr unterschiedlich darstellen kann.

Eine Kalkschulter tritt oft in Kombination mit einem Impingement-Syndrom der Schulter auf. Eine Anamnese und die klinische Untersuchung erhärten zumeist den Verdacht auf das Vorliegen einer Kalkschulter. Mittels Röntgenaufnahme und Sonographie kann das Kalkdepot kann nachweisen werden. Eine ergänzende MRT kann Aufschluss über das zusätzliche Auftreten eines Impingement-Syndroms sowie Information über den Zustand der Sehne liefern.