Fuss / Sprunggelenk

BANDVERLETZUNG SPRUNGGELENK

Definition

Typischerweise durch Verknöcheln/Umknicken kommt es zu Bandzerrungen oder Bandrissen im Sprunggelenksbereich.

Klinik und Diagnose

Die Diagnose erfolgt durch die Anamnese und die klinische Untersuchung. Die Stabilität des Sprunggelenkes wird dabei durch den Untersucher beurteilt. Ein Röntgen wird immer angefertigt, um eine Fraktur oder knöcherne Ausrisse auszuschließen.

Therapie

Eine reine Bänderzerrung kann mit einer Sprunggelenksorthese, die über sechs Wochen getragen werden soll, konservativ behandelt werden. Bei Verdacht auf Bänderriss oder bei anhaltenden Beschwerden sollte eine MRT durchgeführt werden, um die Diagnose abzusichern und um Begleitverletzungen wie zum Beispiel Knorpelschäden oder Knochenmarksödeme festzustellen.

Auch frische Rupturen werden meist konservativ mit Orthese behandelt, nur bei starker Aufklappbarkeit bzw. bei Sportlern ist ein operatives Vorgehen mittels einer direkten Bandnaht indiziert.

Bei veralteten Rupturen und chronischer Instabilität, ist bei erfolgloser physikalischer Therapie ebenso die Operation indiziert. In diesen Fällen wird eine Bandersatzplastik mit einer körpereigenen Sehne durchgeführt (Watson-Jones) oder die Bänder am Knochen reinseriert (Broström-Gould). In beiden Fällen ist eine postoperative Schienenbehandlung mit anschließender Physiotherapie unerlässlich, um ein optimales Ergebnis zu erzielen.

ARTHROSE OBERES SPRUNGGELENK

Definition

Arthrosen des oberen Sprunggelenkes treten im Vergleich zu Arthrosen des Hüft- und Kniegelenkes vor allem posttraumatisch (80%) auf. Die übrigen Fälle sind meist Folgen von rheumatischen Erkrankungen oder von Infekten.

Klinik und Diagnose

Es zeigen sich zunehmende Schmerzen vor allem bei Belastung, später auch in Ruhe mit zunehmender Bewegungseinschränkung. Zur Abklärung wird ein Röntgen des oberen Sprunggelenkes in 2 Ebenen durchgeführt. In speziellen Fragen bzw. zur genaueren Planung können zusätzlich ein CT oder MRT durchgeführt werden.

Therapie

Vorerst steht die konservative Therapie im Vordergrund. Physikalische Behandlungen, lokale und systemische medikamentöse Therapien, Schuhzurichtungen, Einlagen sowie ggfs. Orthesen werden angewendet.

Eine operative Therapie ist bei anhaltenden Schmerzen trotz konservativer Therapie und gegebenem Leidensdruck angeraten. In Fällen, wo eine solche nicht erwünscht oder nicht durchgeführt werden kann, bleibt noch eine dauerhafte orthopädische Schuhversorgung. Im Falle einer Operation wird meist eine Arthrodese (Versteifung) des oberen Sprunggelenkes durchgeführt. Je nach Indikation kann dies entweder mittels gekreuzter Schrauben oder mittels Platten durchgeführt werden, bei Arthrose auch des unteren Sprunggelenkes, kann ggfs. eine Versteifung mit einem Nagel erfolgen. Alternativ bleibt noch die Möglichkeit eines Gelenkersatzes also die Implantation einer Endoprothese. Die Prothesen im Bereich des OSG haben allerdings noch nicht die Haltbarkeit, wie wir sie von Prothesen des Hüft- und Kniegelenkes kennen.

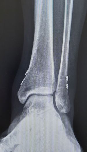
SYNDESMOSEN-RUPTUR

Definition

Bei der Syndesmose handelt es sich um eine Bandverbindung zwischen Schienbein und Wadenbein. Vor allem beim Fußball und bei anderen Kontaktsportarten kann es zu Verletzungen derselben kommen. Diese können entweder isoliert oder in Kombination mit knöchernen oder ligamentären Verletzungen vorkommen

Klinik und Diagnose

Bei der Syndesmose handelt es sich um eine Bandverbindung zwischen Schienbein und Wadenbein. Vor allem beim Fußball und bei anderen Kontaktsportarten kann es zu Verletzungen derselben kommen. Diese können entweder isoliert oder in Kombination mit knöchernen oder ligamentären Verletzungen vorkommen

Therapie

Es erfolgt eine operative Therapie mit Reposition des Wadenbeines und Halten durch Stellschrauben oder speziellen Implantaten (TightRope®). Die Nachbehandlung besteht in einer 6 wöchigen Gipsruhigstellung. Bei Einbringung von Schrauben, werden diese nach etwa 6 Wochen entfernt.

SINUS-TARSI-SYNDROM

Definition

Schmerzen am äußeren (lateralen) Fußrand vor und unter dem Außenknöchel, die vor allem bei Belastung und selten in Ruhe auftreten, können auf ein Sinus-Tarsi-Syndrom hinweisen. Die Bezeichnung gleicht einem Sammelsyndrom, hinter welchem sich unterschiedliche Ursachen verbergen.

Klinik und Diagnose

Zur Diagnose erfolgt durch eine sog. diagnostische/therapeutische Infiltration in den Sinus tarsi. Im Falle eines Sinus-tarsi Syndroms sollte diese zu einer schlagartigen Besserung der Beschwerden führen. Ergänzend wird ein Röntgen in zwei Ebenen durchgeführt werden.

Therapie

Wiederholte Infiltrationen sowie zusätzliche Physiotherapie mit dem Schwerpunkt auf Gangschulung und Training der Unterschenkelmuskulatur wird empfohlen.

Eine Operation ist nur in Ausnahmefällen notwendig.

TARSALTUNNEL-SYNDROM

Definition

Es handelt sich beim Tarsaltunnel-Syndrom um ein sog. Nerven-Engpass-Syndrom am Fuß. Es kommt zu einer Kompression des Nervus tibialis am Eintritt in den Tarsaltunnel am Innenknöchel, entsprechend dem Karpaltunnelsyndrom an der Hand. Neben Entzündungen und Verletzungen (Traumen), werden auch zu enges Schuhwerk sowie funktionelle Ursachen und venöse Stauungen angeschuldigt.

Klinik und Diagnose

Gekennzeichnet ist das Krankheitsbild durch vor allem nächtlich auftretende Dysästhesien (Schmerzen, Kribbeln, Taubheitsgefühl) im Bereich der Fußsohle und Zehen. Die Region hinter dem Innenknöchel ist druckschmerzhaft. Zur Abklärung können elektroneurographische Untersuchungen (Nervenleitgeschwindigkeit (NLG) und ein Elektromyogramm (EMG) erwogen werden. Von Seiten der Bildgebung können Nativröntgen zur Beurteilung von Fehlstellungen, gefolgt von Sonographie und MRT durchgeführt werden. Die Sonographie hat in den letzten Jahren vor allem im Bereich der Nerven in geübter Hand zu einer deutlichen Verbesserung der Darstellung von Veränderungen (Engstellen, Verdickungen, etc..) geführt.

Therapie

Konservative Maßnahmen sind das Mittel der Wahl mit Injektionen von Lokalanästhetika und Steroiden sowie dem Tragen von bequemen, weiten Schuhen und Einlagen zur Entlastung des Fußes.

Die operative Dekompression ist nur bei einer ausgeprägten therapierefraktären Beschwerdesymptomatik angezeigt.

HAMMER- UND KRALLENZEHEN

Definition

Bei der Hammerzehe handelt es sich um eine Beugefehlstellung (Beugekontraktur) des Mittelgelenkes (PIP-Gelenk). Kommt es zusätzlich zu einer Überstreckung im Grundgelenk, spricht man von einer Krallenzehe. Häufig treten diese Veränderungen beim Hallux valgus, beim Senk-Spreizfuß und Ballenhohlfuß auf

Klinik und Diagnose

Klinisch zeigt sich die typische Stellung der Zehen, oft bestehen Hornhautschwielen (Klavi). Ergänzend werden Röntgen in 2 Ebenen im Stehen angefertigt.

Therapie

Bequemes, weites Schuhwerk ist notwendig, um eine Druckschädigung zu vermeiden. Mit einer Redressionsbehandlung können beginnende Deformitäten angegangen werden. Mit Nachtlagerungsschalen wird einer weiteren Progression entgegengewirkt. Im Schuh können die Klavi durch Filzringe entlastet werden. Operativ erfolgt eine Kondylenresektion des Grundgliedes (OP nach Hohmann) mit Bohrdrahttransfixation. Stärkere Deformitäten mit Luxation im MTP Gelenk erfordern eine Strecksehnenverlängerung und ev. eine Rückverlagerung des Mittelfußköpfchens (OP nach Weil).

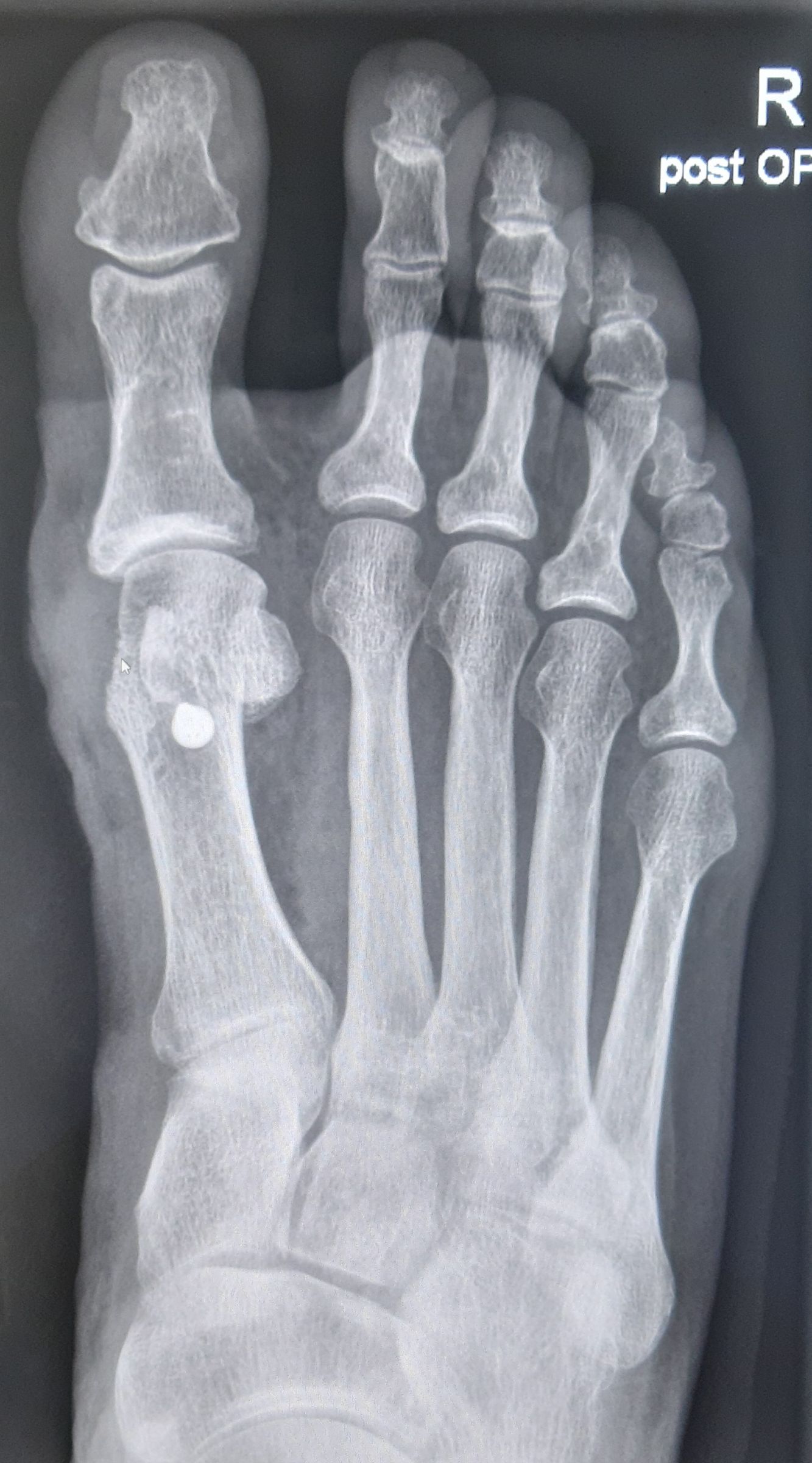
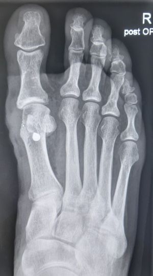
HALLUX VALGUS

Definition

Der Hallux valgus ist die am weitesten verbreitete Deformität der unteren Extremität. Frauen sind weit häufiger betroffen als Männer. Es kommt zu einer verstärkten seitlichen Auslenkung der Großzehe nach außen. Meist tritt diese Fehlstellung in Kombination mit einem nach innen gerichteten 1. Mittelfußknochen (Metatarsus primus varus) auf. Ursächlich gelten genetische Faktoren, falsches Schuhwerk, ein bestehender Senk-Spreizfuß sowie Übergewicht. Es kommt dadurch zu einem Schuhkonflikt mit Druckstellen und einer Schleimbeutelentzündung über dem Metatarsalköpfchen. Als Begleitdeformitäten treten häufig Metatarsalgien, Krallen- und Hammerzehen sowie Klavi (Hühneraugen) auf.

Klinik und Diagnose

Die Diagnose erfolgt zunächst klinisch. Zur Bestimmung des Ausmaßes der Fehlstellung werden zudem Vorfußröntgen im Stehen angefertigt.

Therapie

Durch die konservative Therapie wird der ursächliche Spreizfuß mittels Einlagen behandelt. Hallux-valgus-Nachtlagerungsschienen können zu einer kurzfristigen Beschwerdeerleichterung führen, sie sind jedoch nicht geeignet, die Deformität entscheidend zu korrigieren. Bei stark ausgeprägten Beschwerden empfiehlt sich daher die Operation. Es stehen verschiedene operative Therapien zur Verfügung, abhängig vom Ausmaß der Fehlstellung, welche radiologisch durch definierte Winkel bestimmt wird. Postoperativ werden die Patienten mittels Vorfußentlastungsschuh mobilisiert.

HALLUX RIGIDUS

Definition

Der Hallux rigidus beschreibt die Arthrose des Großzehengrundgelenkes mit Beugekontraktur des Gelenkes. Eine endogene Disposition, rezidivierende Traumen und eine anlagemäßige Fehlform werden ursächlich angeschuldigt.

Klinik und Diagnose

Der Hallux rigidus beschreibt die Arthrose des Großzehengrundgelenkes mit Beugekontraktur des Gelenkes. Eine endogene Disposition, rezidivierende Traumen und eine anlagemäßige Fehlform werden ursächlich angeschuldigt.

Therapie

Im Anfangsstadium können lokal abschwellende Maßnahmen wie Kälteanwendungen und Salbenverbände, schmerz- und entzündungshemmende Medikamente sowie physiotherapeutische Maßnahmen angewendet werden, um die Beweglichkeit zu verbessern. Mit einer vorgezogenen Einlage kann das Gelenk entlastet werden. Wenn diese Maßnahmen nicht mehr ausreichen, sollte eine Operation angedacht werden. Der operative Standard ist die Arthrodese (Versteifung) des Großzehengrundgelenkes. Monopolare Endoprothesen können auch zur Anwendung kommen. Die Resektionsarthroplastik wird nur noch selten angewendet.

HAGLUNDEXOSTOSE

Definition

Die Haglundexostose ist eine höckerartige knöcherne Auftreibung des Fersenbeins unmittelbar vor dem Achillessehnenansatz.

Klinik und Diagnose

Es besteht eine Schmerzhaftigkeit im Fersenbeinbereich mit lokaler Druckschmerzhaftigkeit und Schwellung. Durch die Verdickung kann es zusätzlich zu einem Schuhkonflikt kommen, wodurch der schmerzhafte Prozess zusätzlich negativ beeinflussen werden kann.

Therapie

Vorerst sollte immer eine konservative Therapie durchgeführt werden. Diese erfolgt mittels entzündungshemmender Medikation, Anpassung des Schuhwerkes zur Druckentlastung, auch mittels Gelkisseneinlagen. Weiters sollten physikalische Maßnahmen sowie bei länger andauernden Beschwerden auch eine Stoßwellentherapie erfolgen. Bei anhaltenden Beschwerden und ausgeschöpften konservativen Maßnahmen ist eine operative Abtragung des Überbeins indiziert.

FERSENSPORN

Definition

Der Fersensporn ist ein im Bereich der Fußsohle gelegener knöcherner Sporn des Fersenbeines. Er entsteht durch Überlastung und Reizung der Plantarfaszie. Der Fersensporn stellt also nur das Ergebnis der Sehnenentzündung und nicht deren Ursache da.

Prädisponierend wirken Übergewicht, Überbelastung, zu hartes Schuhwerk, eine Abflachung des Fußlängsgewölbes (Knicksenkfuß) sowie eine Verkürzung der Wadenmuskulatur.

Klinik und Diagnose

Es treten starke Schmerzen nach Belastung auf, anfangs sind vor allem die ersten Schritte nach längerer Ruhe schmerzhaft. Klinisch zeigt sich eine lokale Druckschmerzhaftigkeit im Bereich der Fußsohle auf Höhe der Ferse. Zur Diagnostik erfolgt ein Röntgen, wo man dann den Fersensporn sehen kann.

Therapie

Es treten starke Schmerzen nach Belastung auf, anfangs sind vor allem die ersten Schritte nach längerer Ruhe schmerzhaft. Klinisch zeigt sich eine lokale Druckschmerzhaftigkeit im Bereich der Fußsohle auf Höhe der Ferse. Zur Diagnostik erfolgt ein Röntgen, wo man dann den Fersensporn sehen kann.

ACHILLESSEHNENRISS

Definition

Die Achillessehne ist der sehnige Ausläufer der Wadenmuskulatur mit Ansatz am Fersenbein. Die häufigste Rissstelle liegt etwa 4-6 Zentimeter oberhalb des Ansatzes, wobei es aber seltener auch zu knöchernen Ausrissen kommen kann.

In den meisten Fällen bestehen Vorschädigungen oder degenerative Veränderungen der Sehne, welche dann bei einer plötzlichen, meist banalen Belastung (plötzliches Anlaufen wie beim Tennis, Anschieben eines Autos etc.) zu einer kompletten Ruptur führen können. Eine gesunde Sehne reißt fast nie.

Klinik und Diagnose

Oft wird ein plötzlicher „Schnalzer“ berichtet, begleitet von stechenden Schmerzen. Der aktive Zehenstand ist bei Komplettruptur in der Regel nicht mehr möglich. Klinisch ist eine tastbare Delle unmittelbar über dem Achillessehnenansatz am Fersenbein tastbar.

Prinzipiell handelt es sich um eine klinische Diagnose, es soll jedoch ein Röntgen zum Ausschluss einer knöchernen Beteiligung durchgeführt werden. Die Ultraschalluntersuchung (Sonographie) ist schließlich von Seiten der Bildgebung die Methode der Wahl, da sie neben der Darstellung der Ruptur auch eine dynamische Untersuchung erlaubt. Bei veralteten Rupturen oder unklaren Befunden empfiehlt es sich, eine MRT-Untersuchung durchzuführen, um degenerative Begleitveränderungen des Sehnengewebes darzustellen und um diese ggfs. in die Operationsplanung miteinzubeziehen.

Therapie

Ein konservatives Vorgehen mit Gipsruhigstellung kann bei Teilrupturen oder bei Rupturen gewählt werden, deren Enden in der Sonographie Stoss an Stoss liegen bzw. bei allgemeiner Kontraindikation gegen eine operative Versorgung. Im Normalfall werden aber frische Achillessehnenrisse operativ versorgt. An Operationstechniken stehen etwa die offene End-zu End-Sehnennahttechnik oder minimalinvasive perkutane Nahttechniken zur Verfügung.

Bei veralteten Rupturen mit größerer Defektzone durch Retraktion der Sehnenanteile, müssen plastische Verfahren durchgeführt werden

Postoperativ ist ein Gipsverband in „Spitzfußstellung“ angelegt mit schrittweisem Redressement. Bei einem kooperativen Patienten kann anstatt eines Gipses ein Aircastwalker verwendet werden. Die Dauer der Befristung beträgt üblicherweise 6-8 Wochen.

Im Anschluss sollten physiotherapeutische Koordinations- und Kraftübungen begonnen werden.

Sportliche Belastung sollten frühestens ab dem vierten Monat, „Stop and Go“-Sportarten oder Turniersport frühesten nach 6, meist allerdings erst nach 9 Monaten durchgeführt werden.